Mikroalge mit ungewöhnlicher Zellbiologie



Bio-News vom 06.03.2024

Ein weltweit verbreiteter Einzeller, der in schädlichen Algenblüten vorkommt, weist eine ungewöhnliche Organisation der Photosynthese auf. Forschende der Universität Oldenburg haben die ungewöhnliche Zellbiologie der Art Prorocentrum cordatum aus der Gruppe der Dinoflagellaten („Panzergeißler“) besonders detailliert untersucht. Die Ergebnisse ihrer Studie könnten dazu beitragen, die Rolle der Art in der Umwelt und das verstärkte Auftreten von Algenblüten bei höheren Wassertemperaturen besser zu verstehen.

Welche molekularen Vorgänge spielen sich in einer einzelligen Meeresalge ab, die schädliche Algenblüten verursachen kann? Ein Forschungsteam um den Mikrobiologen Prof. Dr. Ralf Rabus von der Universität Oldenburg hat die ungewöhnliche Zellbiologie der weltweit verbreiteten Art Prorocentrum cordatum aus der Gruppe der Dinoflagellaten („Panzergeißler“) erstmals sowohl auf molekularbiologischer Ebene als auch mit bildgebenden Verfahren detailliert untersucht.


Ein Künstlerischer Blick auf eine Pflanzenzelle

Publikation:


Jana Kalvelage et al.
Conspicuous chloroplast with light harvesting-photosystem I/II megacomplex in marine Prococentrum cordatum

Plant Physiology, kiae052 (2024)

DOI: 10.1093/plphys/kiae052



Wie das Team jetzt in der Zeitschrift Plant Physiology berichtet, ist die Photosynthese der Einzeller ungewöhnlich organisiert, was ihnen helfen könnte, mit wechselnden Lichtverhältnissen im Meer zurecht zu kommen. Die Ergebnisse der Studie könnten dazu beitragen, das Auftreten schädlicher Algenblüten, die durch den Klimawandel möglicherweise begünstigt werden, in Zukunft besser zu verstehen.

Publikation:


Jana Kalvelage et al.
The enigmatic nucleus of the marine dinoflagellate Prorocentrum cordatum
mSphere Vol. 8, No. 4 (2023)

DOI: 10.1128/msphere.00038-23

Dinoflagellaten sind ein wichtiger Bestandteil der Ökosysteme im Meer, aber auch im Süßwasser. Die Einzeller machen einen Hauptteil des freischwimmenden Phytoplanktons aus, das wiederum die Basis des Nahrungsnetzes in Meeren und Seen bildet. Einige Arten, darunter Prorocentrum cordatum, können sich in warmen, nährstoffreichen Gewässern stark vermehren und schädliche Algenblüten ausbilden. „Wir haben uns diesen Organismus angeschaut, weil er umweltrelevant ist, seine Zellbiologie und Stoffwechselphysiologie aber noch größtenteils unverstanden sind“, sagt Rabus. Neben der Studie zur Photosynthese haben die Forschenden in zwei weiteren kürzlich veröffentlichten Arbeiten zusammen mit Arbeitsgruppen von den Universitäten in Hannover, Braunschweig und München die Struktur des Zellkerns und die Reaktion der Mikroalgen auf Hitzestress untersucht.

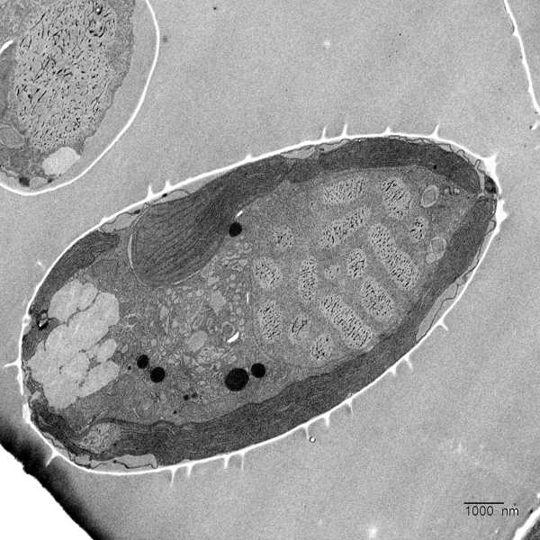
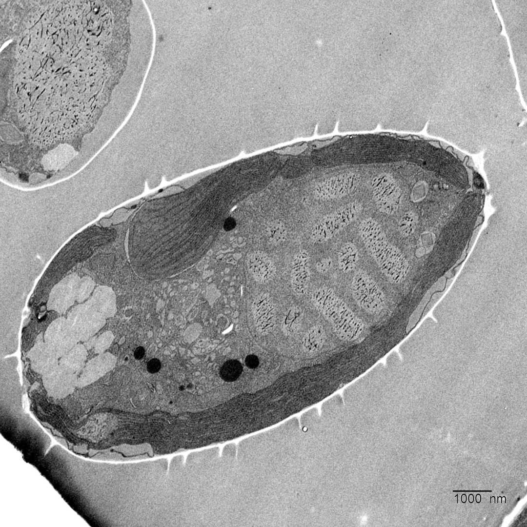
Schnitt durch eine Zelle der Mikroalge Prorocentrum cordatum. Der Zellkern mit den Chromosomen befindet sich auf der rechten Seite. Ein einzelner Chloroplast umhüllt praktisch das gesamte Zellinnere. Bild:e

Dem Team um Rabus und Hauptautorin Jana Kalvelage vom Institut für Chemie und Biologie des Meeres gelang es nun erstmals, die dreidimensionale Form der Organellen aufzuklären, die zur Photosynthese dienen, der so genannten Chloroplasten. Das Team nutzte dafür ein besonderes Gerät an der Ludwig-Maximilians-Universität München, ein Rasterelektronenmikroskop mit fokussiertem Ionenstrahl. Mit diesem Verfahren war es möglich, rund 600 Schichten einer einzelnen Algenzelle abzubilden und diese Schnitte anschließend zu einem dreidimensionalen Bild zusammenzusetzen. So erhielten sie ein besonders genaues räumliches Bild der oval geformten Einzeller, die meist zwischen zehn und 20 Tausendstel Millimeter lang sind. Bei den Untersuchungen stellte sich heraus, dass Prorocentrum cordatum nur einen einzigen Chloroplasten besitzt, dessen Form einem Fass ähnelt und der 40 Prozent des Zellvolumens einnimmt.

Mit Hilfe proteomischer Untersuchungen gelang es, markante Unterschiede zwischen den Photosyntheseapparaten der Mikroalgen und der Pflanze Arabidopsis thaliana, einem Modellorganismus der Genetik, zu entdecken. Die Photosynthese findet bei beiden Arten in speziellen Strukturen statt, die in die Membranhülle der Chloroplasten eingebettet sind. Bei Prorocentrum cordatum identifizierte das Team eine einzelne, aus zahlreichen Proteinen zusammengesetzte große Struktur, einen sogenannten Megakomplex, in dem die Sonnenenergie in biochemische Energie umgewandelt wird. In den Chloroplasten der Pflanze hingegen laufen die verschiedenen Schritte der Photosynthese räumlich getrennt ab. Das Team berichtet zudem, dass P. cordatum sehr viele unterschiedliche, kleine Pigmentproteine nutzt, um die Sonnenenergie effizient einzufangen. „Diese Vielfalt stellt eine besondere Anpassung an die unterschiedlichen Lichtverhältnisse dar, denen der Organismus im Meer ausgesetzt ist“, erläutert Rabus.

Wie ungewöhnlich die Biologie der Mikroalge ist, zeigen zwei weitere im vergangenen Jahr veröffentlichte Studien: In einer Arbeit stellte ein deutsch-australisches Forschungsteam, an dem auch die ICBM-Forschenden beteiligt waren, fest, dass das Genom der Organismen sehr groß ist – die Zahl der Basenpaare ist doppelt so hoch wie beim Menschen. Gleichzeitig fanden die Forschenden heraus, dass die Algen bei erhöhten Temperaturen ihren Stoffwechsel umstellen und sich ihr Wachstum verlangsamt. In einer zweiten Veröffentlichung beschreibt das Team um Rabus und Kalvelage den Zellkern genauer. Die Forschenden berichten, dass P. cordatum eine ungewöhnlich große Zahl von 64 Chromosomen besitzt, die fast den gesamten Zellkern ausfüllen. Die Funktion eines großen Teils der Proteine, die die Forschenden im Zellkern identifizierten, sei bislang unbekannt, schreibt das Team.

„Wir haben auf molekularer Ebene untersucht, wie diese wichtige Mikroalge funktioniert. Diese Erkenntnisse bilden die Basis, um ihre Rolle in der Umwelt besser zu verstehen“, betont Rabus. Weitere Untersuchungen könnten beispielsweise klären, wie der Stoffwechsel des Organismus auf weitere Stressfaktoren reagiert – und warum die Art in der Lage ist, sich an unterschiedlichste Umweltbedingungen von den Tropen bis zu den gemäßigten Breiten anzupassen.


Diese Newsmeldung wurde mit Material der Carl von Ossietzky-Universität Oldenburg via Informationsdienst Wissenschaft erstellt.

Mehr zu den Themen


warte
warte
warte
warte
warte
warte
warte
warte
warte
warte